Kei Shing Oh

MD, Dermatopathologist

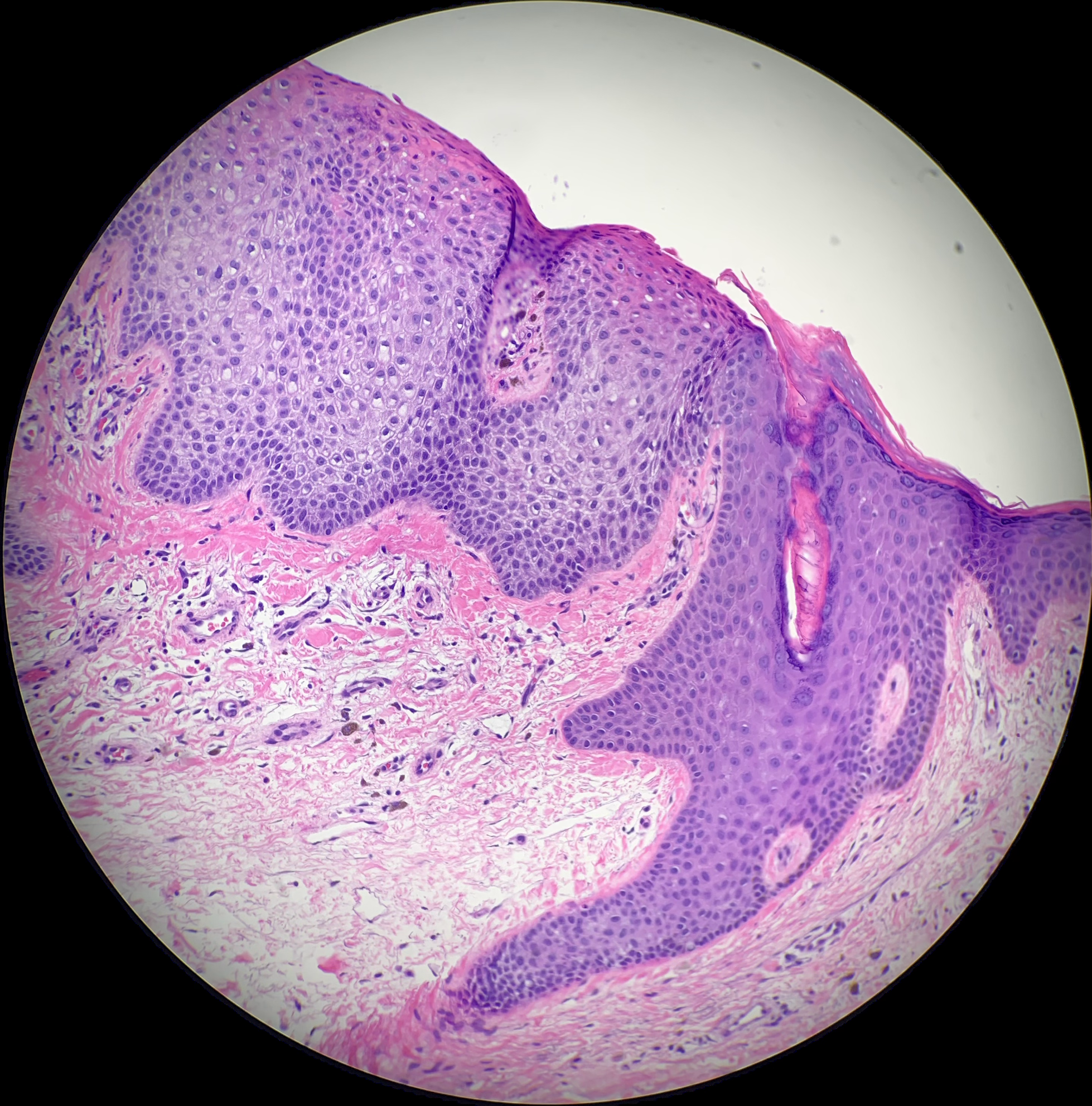
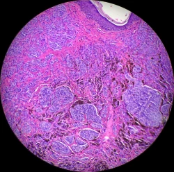
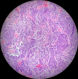
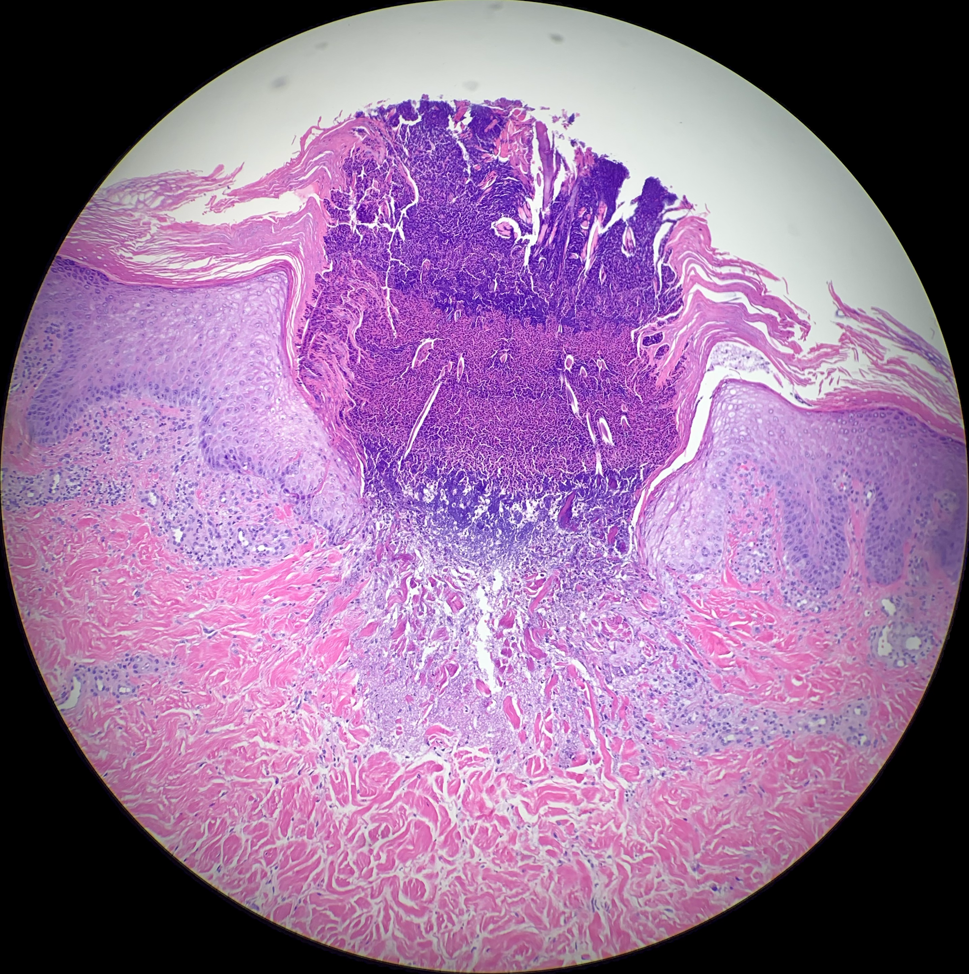
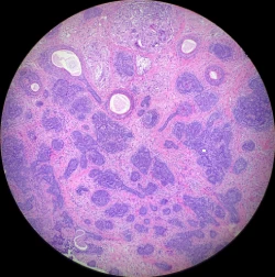
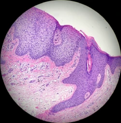
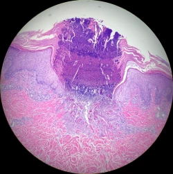
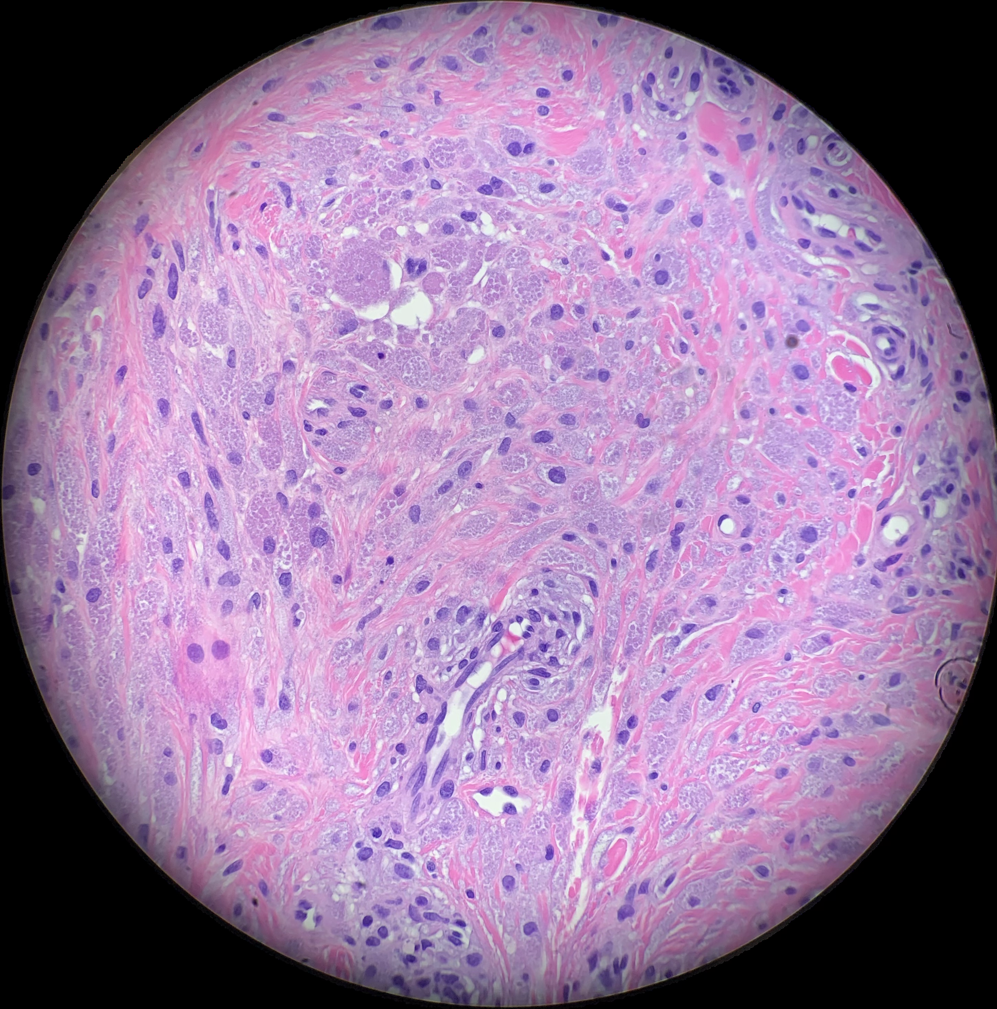
Microscopy

Curriculum vitae

Education & Training

  • Dermatopathology Fellowship, University of Pittsburgh Medical Center, Pittsburgh, PA
  • AP/CP Pathology Residency, Mount Sinai Medical Center, Miami Beach, FL
  • Medical School, Sri Devaraj URS Medical College, Karnataka, India

Selected Publications

  1. T-cell clonality in pleomorphic dermal sarcoma in male veterans - a report of 2 cases and a review of the literature. Accepted for publication in The American Journal of Dermatopathology July 2024
  2. Oh KS, Mahalingam M. Melanoma and Glioblastoma-Not a Serendipitous Association. Adv Anat Pathol. 2023 Jan 10. (Invited review)
  3. Yang K, Oh K, Mahalingam M. Sun-protective behaviors in military veterans. Int J Dermatol. 2023 Aug
  4. Oh KS, Bahmad HF, Stoyanov KV, Amjad IH, Brathwaite C. Recurrent PIK3CA H1047R-mutated congenital infiltrative facial lipomatosis: A case report and review of literature. Curr. Issues Mol. Biol. 2023, 45, 1712-1719.
  5. Fayiga FF, Reyes-Hadsall SC, Moreno BA, Oh KS, Brathwaite C, Duarte AM. Novel ANKRD26 and PDGFRB Gene Mutations in Pediatric Case of Non-Langerhans Cell Histiocytosis: Case Report and Literature Review. J Cutan Pathol. 2023 Feb 8.
  6. Zarella M, McClintock D, Batra H, Gullapalli R, Valante M, Tan V, Dayal S, Oh KS, Lara H, Garcia C, and Abels. Artificial intelligence in pathology: clinical promise and deployment considerations. (Submitted to Journal of Medical Imaging).
  7. Bahmad HF, Oh KS, Alexis J. Potential Diagnostic Utility of PRAME and p16 Immunohistochemistry in Melanocytic nevi and Malignant Melanoma. (Accepted for publication, Journal of Cutaneous Pathology.
  8. Razi S, Ouellette S, Khan S, Oh KS, Truong TM, Rao BK. Role of VivaScope 2500® Ex vivo Confocal Microscopy in Skin Pathology: Advantages, Limitations, and Future Prospects. (Submitted to Journal of the European Academy of Dermatology and Venereology)
  9. Oh KS, Alloush F, Fader M, Brathwaite C. FANCC and PTCH1 gene loss in congenital infantile rhabdomyosarcoma with spindle cell features. Pediatr Blood Cancer. 2022 Nov 3.
  10. Oh KS, Prajapati S, Mahalingam M. Synchronous Diffuse Large B-cell Lymphoma of the Skin and Testis: A Diagnostic and Staging Dilemma. Indian J Dermatol Venereol Leprol. 2022 Nov 16:1-3.
  11. Oh KS, Bahmad HF, Brathwaite C, Castellano Sanchez A, Recine M. Neonatal acute liver failure with pulmonary yellow hyaline membrane and kernicterus. Autopsy and Case Reports. 2021;11:e2021268
  12. Oh KS, Febres-Aldana CA, Kuritzky N, Ujueta F, Arenas IA, Sriganeshan V, Medina AM, Poppiti R. Cellular senescence evaluated by P16INK4a immunohistochemistry is a prevalent phenomenon in advanced calcific aortic valve disease. Cardiovascular Pathology. 2021 Jan 12;52:107318
  13. Skopis M, Elghawy AA, Pociurko B, Oh KS, Bag-Ozbek A. Pyoderma gangrenosum associated with limited cutaneous systemic sclerosis: a rare case with literature review. Clin Rheumatol. 2021 Mar;40(3):1141
  14. Oh KS, Febres-Aldana CA, Pelaez L, Alexis J. 8p23.1 Microdeletion syndrome and obstructing myxomatous heart valve nodules. Autopsy and Case Reports. 2020 Apr 2;10(2):e2020168
  15. Rafols M, Mejia O, Oh KS, Bendixen B, Jorge I, Narayanan S. An unusual case of lower extremity clear cell hidradenocarcinoma. Case Rep Surg. 2020 Apr 8;2020:6192109
  16. Yang K, Oh KS, Mahalingam M. Genetic profile of naïve untreated primary cutaneous melanomas with a negative sentinel lymph node. Clin Exp Dermatol. 2020 Dec; 45(8):1059-1062
  17. Oh KS, Mahalingam M. PD-L1 detection – Pearls and pitfalls associated with current methodologies focusing on entities relevant to dermatopathology. Am J Dermatopathol. 2019 Aug;41(8):539 (Invited review)
  18. Oh KS, Mahalingam M. Immunohistochemistry as a genetic surrogate in dermatopathology – Pearls and pitfalls. Adv Anat Pathol. 2019 Nov; 26(6):390 (Invited review)
  19. Alvarez Moreno JC, Pagacz M, Mejia O, Oh KS, Medina AM. Rhabdoid collecting duct carcinoma with lymphangitic carcinomatosis causing acute lethal chylopericardium. Respir Med Case Rep. 2020 Sep 28;31:101240.
  20. Transfusion-Related Acute Lung Injury (TRALI) in Postoperative Anesthesia Care Unit (PACU) After One Unit of Platelets: A Case Report. Perez-Viloria ME, Lopez K, Malik F, Yatham P, Lopez O, Oh KS, Alghamdi S, Garcia G. Cureus. 2022 Sep 17;14(9):e29274.
  21. Bahmad HF, Oh KS, Delgado R, Azimi R, Olivares E, Poppiti R, Howard L, Alghamdi S. Improving documentation of blood product administration using a standardized electronic health record-based system: a single-institution experience. Am J Clin Pathol. 2023 Sep 1;160(3):268-275.

Contact